Chụp tiền chế

25/06/2025by admin0

Một quan niệm sai lầm của cha mẹ rằng những chiếc răng sữa sẽ sớm thay và không tồn tại lâu dài trong miệng. Nhưng sự thật là, những chiếc răng cửa sữa có thể sẽ tổn tại cho đến năm 7-8 tuổi và những chiếc răng hàm sữa của con bạn thậm chí còn tồn tại cho đến năm 11-12 tuổi. Nghĩa là chúng ta nên cố gắng bảo tồn các răng sữa! Việc giữ những chiếc răng sữa cho trẻ cho đến tuổi thay răng là vô cùng quan trọng, bởi những chiếc răng sữa này sẽ giữ chỗ cho răng vĩnh viễn mọc lên đúng vị trí. Bằng việc bảo tồn răng hàm sữa, chúng ta có thể ngăn ngừa các nguy cơ dẫn đến các vấn đề chỉnh nha phức tạp sau này.

Ngày nay, việc phục hồi thân răng với những chiếc răng cửa sửa hiện nay cũng được quan tâm nhiều hơn. Do hội chứng sâu răng sớm, nhiều trẻ trong độ tuổi đến trường có các tổn thương sâu răng nghiêm trọng ở vùng răng trước gây mất thẩm mỹ, khiến trẻ tự ti và gặp khó khăn trong giao tiếp. Để giải quyết vấn đề này, các chụp răng thẩm mỹ được nghiên cứu và ứng dụng phục hồi đem lại nụ cười mới và sự tự tin cho trẻ.

Con bạn cần làm chụp răng, và bạn đang băn khoăn ”Tôi có những lựa chọn nào?”

Chụp thép có sẵn (chụp thép tiền chế)

Chụp thép tiền chế là loại chụp răng phổ biến nhất được sử dụng để phục hồi các răng hàm sữa trong Nha khoa Trẻ em. Đây là những gì nhiều người gọi là Chụp răng “Bạc”. Những chụp răng màu bạc sáng bóng này rất bền và có độ đàn hồi cao, đó là một lựa chọn tuyệt vời nếu bạn không quan tâm nhiều đến thẩm mỹ. Vì chụp thép mỏng hơn so với các loại chụp còn lại cùng kích cỡ, có khả năng điều chỉnh cho phép nha sỹ sửa soạn răng tối thiểu mà vẫn có thể lắp vừa chụp thép. Chụp thép là lựa chọn tốt nhất để bảo tồn cấu trúc răng tự nhiên cho con bạn.

Nhược điểm của chụp thép là vấn đề thẩm mỹ. Nhiều phụ huynh nghi ngại vì màu bạc thì độc hoặc bị nhầm lẫn với việc sự dụng thuỷ ngân trong “ trám bạc” ( hàn Amalgam) trước đây. Chụp thép có màu bạc nhưng được chế tạo bằng hợp kim thép không rỉ, hoàn toàn không gây độc. Loại vật liệu này đã được nghiên cứu, phát triển, cải tiến và thay đổi cấu trúc trong thời gian dài để đạt được kết quả tối tưu, cho tỷ lệ thành công cao và lưu giữ tốt.

Chụp thép tiền chế có mặt dán 

Là loại chụp thép được thay đổi để trông thẩm mỹ hơn, đặc biệt là ở răng cửa, chụp thép tiền chế với một mặt phủ composite. Những chiếc chụp này trông đẹp hơn bởi vì từ phía ngoài trông chúng có màu trắng. Mặt dán composite cần đủ độ dày để đảm bảo bám vào kim loại, do đó các chụp này trông tròn hơn, dày hơn so với chụp thép tiền chế thông thường, do đó, nha sỹ cần sửa soạn nhiều hơn so với chụp thép cùng kích thước. Mặt dán composite nguy cơ sứt mẻ, bong lớp mặt dán để lộ lớp kim loại bên dưới.

Nhược điểm của loại chụp này là không có khả năng điều chỉnh chụp, cần sửa soạn răng nhiều hơn, nguy cơ bong vỡ mặt dán  và chống chỉ định cho các trường hợp trẻ có tật nghiến răng, khớp cắn sâu, do đó hiện nay, loại chụp này không được sử dụng nhiều.

Chụp răng Composite/ stripcrown

Là loại chụp rất thẩm mỹ, thường sử dụng cho vùng răng cửa .Tuy nhiên, khi thực hiện cần nhiều bước kỹ thuật tỉ mỉ và mất nhiều thời gian, điều này khó thực hiện với trẻ nhỏ ít hợp tác. Chụp răng  được làm hoàn toàn bằng vật liệu composite. Chụp này trông tự nhiên nhưng có xu hướng ngấm màu và đổi màu theo thời gian, dễ tạo mảng bám. Chụp răng composite cũng yếu hơn nhiều so với chụp thép và có nguy cơ gãy, vỡ mẻ trong quá trình ăn nhai. Thời gian thực hiện lâu, chụp răng yếu là những nhược điểm khiến loại chụp này hiện nay không còn sử dụng phổ biến.

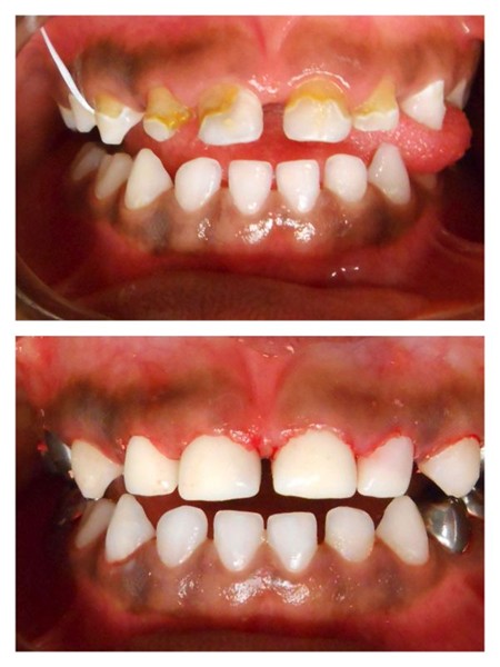
Chụp Zirconia tiền chế

Chụp Zirconnia được đúc sẵn, hoàn toàn màu trắng, có độ cứng đặc biệt và là chụp thẩm mỹ và tương hợp sinh học nhất cho răng hàm sữa, được thiết kế đặc biệt cho trẻ em. Mỗi chụp răng được tráng men với một chút màu sắc tự nhiên, làm cho chúng rất mịn, sáng bóng và không thấm nước để nhuộm màu. Chúng đặc biệt cứng chắc và thẩm mỹ vượt trội của chúng cho phép chúng kết hợp hoàn hảo với răng tự nhiên xung quanh và tương hợp sinh học với mô lợi quanh răng, đặc biệt để phục hồi cho vùng răng trước, ngay cả khi các răng đã bị mất hầu như toàn bộ thân răng.

Nhược điểm của chụp Zirconia tiền chế là giá thành cao, chụp không thể điều chỉnh do đó nha sĩ cần sửa soạn răng để có thể lắp chụp răng vừa khít. Thủ thuật này cần nhiều thời gian và sự hợp tác của trẻ trên ghế răng, Tuy nhiên, đối với trẻ hợp tác, hoặc được gây mê, chụp Zirconia tiền chế sẽ cho một kết quả điều trị tuyệt vời về cả thẩm mỹ và chức năng. Sự tương hợp sinh học và thẩm mỹ tuyệt vời của chụp Zirconia cho phép phục hồi răng của con bạn tự nhiên như răng thật. Trên thực tế, cả bạn và bạn bè của con thậm chí sẽ không nhận ra những chiếc chụp răng trong miệng của con bạn.

Phát hiện ra con bạn bị sâu răng lớn, cần điều trị và làm chụp  răng có thể gây bối rối cho hầu hết các cha mẹ. Nhưng tại INFI DENTAL, chúng tôi luôn có sẵn những lựa chọn tối ưu bao gồm chụp thép tiền chế và chụp Zirconia tiền chế để khôi phục răng của con bạn bằng chụp răng hoàn toàn mới, giúp con ăn nhai tốt hơn, răng chắc khoẻ hơn và tự tin hơn.

Chúng tôi hiểu sự lo lắng của bạn! Bạn có thể bất ngờ khi nghe tin con cần làm chụp răng, đừng bối rối và cùng chúng tôi cân nhắc lựa chọn nào là phù hợp nhất cho con bạn!

“Mặc áo giáp bảo vệ cho răng, để sâu răng không còn là nỗi lo, bạn nhé!”

Leave a Reply

Your email address will not be published. Required fields are marked *

InfiDental

Đội ngũ nha sĩ tốt nhất.

Giải thưởng
Mạng xã hội

Truy cập Infi Dental trên các liên kết xã hội và theo dõi chúng tôi để cập nhật chương trình khuyến mại

Copyright 2020 by BoldThemes. All rights reserved.

Copyright 2020 by BoldThemes. All rights reserved.