Chụp thép tiền chế cho răng sữa

25/06/2025by admin0

Sâu răng là vấn đề thường gặp ở trẻ nhỏ khiến nhiều bậc phụ huynh lo lắng. Hiện nay, có nhiều kỹ thuật nha khoa hỗ trợ điều trị tình trạng này, một trong số đó là chụp thép răng sữa. Vậy có nên chụp thép răng sữa cho trẻ hay không? Bài viết này của Nha Khoa Infi Dental sẽ giúp bạn giải đáp.

Chụp thép răng sữa là gì?

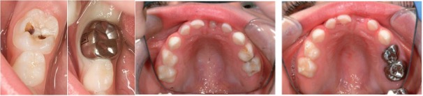
Chụp thép răng sữa (còn gọi là chụp thép tiền chế) là phương pháp phục hình nha khoa hiện đại, sử dụng mão răng giả làm từ hợp kim thép không gỉ để bảo vệ răng sữa bị sâu nặng, vỡ lớn hoặc sau khi điều trị tủy. Chụp thép giúp duy trì chức năng ăn nhai, bảo vệ mô răng còn lại và giữ chỗ cho răng vĩnh viễn mọc đúng vị trí.

Loại thép dùng để làm mão răng giả thường là hợp kim không gỉ như Cr-Co (Crom-Coban) hoặc Ni-Cr (Niken-Crom), đảm bảo độ bền cao, an toàn với sức khỏe và không gây ảnh hưởng đến hương vị thức ăn.

Có nên bọc thép răng sữa?

Dù chỉ tồn tại trong giai đoạn đầu đời, răng sữa đóng vai trò quan trọng trong quá trình phát triển của trẻ. Đây là thời điểm trẻ cần được đảm bảo dinh dưỡng đầy đủ để phát triển toàn diện cả về thể chất và trí tuệ.

Nếu răng sữa bị tổn thương, gây khó khăn khi nhai, trẻ có thể gặp phải tình trạng thiếu hụt dinh dưỡng, ảnh hưởng đến sức khỏe và sự phát triển tổng thể. Lúc này, bố mẹ nên đưa trẻ đến nha khoa thăm khám để được tư vấn có nên bọc thép hay không.

So với phương pháp hàn răng đơn thuần, chụp thép trẻ em mang lại nhiều ưu điểm vượt trội. Trong trường hợp trẻ không hợp tác hoặc không thể kiểm soát nước bọt trong quá trình hàn răng, chụp thép sẽ giúp tăng độ bền và bảo vệ răng tốt hơn. Ngoài ra, nếu răng bị sâu quá nhiều, khiến việc hàn không còn hiệu quả và dễ bong tróc, thì chụp thép sẽ là giải pháp tối ưu.

Do men răng sữa mỏng hơn so với răng vĩnh viễn nên chúng dễ bị tác động bởi acid từ vi khuẩn và thực phẩm. Vì vậy, răng sữa rất dễ bị sâu và việc phục hồi thường gặp nhiều khó khăn. Chụp thép hoạt động như một lớp bảo vệ chắc chắn, giúp ngăn chặn vi khuẩn xâm nhập và giảm nguy cơ răng sữa bị sâu thêm. So với phương pháp hàn trám, chụp thép mang lại hiệu quả cao hơn, đặc biệt trong trường hợp răng bị sâu nặng hoặc men răng đã bị mòn

Chụp thép giúp tăng khả năng bảo vệ và bảo tồn răng sửa trước quá trình thay răng

 

Khi nào trẻ cần chụp thép răng sữa?

Nên thực hiện chụp răng thép cho trẻ trong các trường hợp sau:

  • Trẻ có răng bị sâu nghiêm trọng, sâu nhiều mặt hoặc đã trám nhiều lần nhưng vẫn bong tróc.
  • Trẻ có răng sữa bị thiểu sản men, men răng yếu hoặc men mủn, dẫn đến hư hỏng nặng, thậm chí cụt đến chân răng.
  • Trẻ cần tái tạo răng sữa sau điều trị tủy buồng hoặc tủy toàn bộ.
  • Trẻ gặp khó khăn trong việc vệ sinh răng miệng hoặc khi vật liệu hàn răng không hiệu quả, làm tăng nguy cơ sâu răng.

Trường hợp trẻ không nên chụp thép răng sữa

Răng sữa tiêu chân răng quá nhiều, răng sữa đã lung lay

Khi răng sữa đã tiêu chân hơn một nửa và lung lay sắp đến thời điểm thay, việc chụp thép không còn cần thiết. Bên cạnh đó, nếu răng sữa vẫn đảm bảo chức năng ăn nhai và không gây đau, thì cũng không cần thiết phải chụp thép.

Trẻ có cơ địa dị ứng hoặc nhạy cảm với kim loại

Nếu trẻ dị ứng hoặc nhạy cảm với kim loại, khi chụp thép có thể gặp phải tình trạng ngứa, sưng đỏ, viêm nhiễm tại vùng miệng.

 

Quy trình chụp thép răng sữa

Quy trình chụp thép tiền chế gồm các bước sau:

  • Bước 1: Bác sĩ tiến hành kiểm tra tình trạng răng sữa của trẻ, xác định răng cần phục hồi bằng chụp thép.
  • Bước 2: Làm sạch khu vực răng sâu hoặc tổn thương, loại bỏ vi khuẩn, mảng bám và thức ăn dư thừa. Nếu cần, sẽ thực hiện điều trị tủy trước khi tiến hành bọc chụp.
  • Bước 3: Mài chỉnh thân răng để tạo khoảng trống phù hợp, đảm bảo chụp thép không gây cấn với các răng kế bên. Nếu cần, bác sĩ cũng có thể mài hạ thấp mặt răng để duy trì khớp cắn tự nhiên.
  • Bước 4: Lựa chọn kích thước chụp thép phù hợp, sát khuẩn và làm khô bề mặt răng. Sau đó, sử dụng keo nha khoa để cố định chụp thép, đồng thời kiểm tra độ vừa vặn và ổn định.
  • Bước 5: Kiểm tra lại khả năng ăn nhai và tính thẩm mỹ sau khi chụp thép. Bác sĩ sẽ hướng dẫn trẻ và phụ huynh cách chăm sóc, vệ sinh răng miệng đúng cách, đồng thời hẹn lịch tái khám định kỳ để theo dõi tình trạng răng.

Giá chụp thép răng sữa bao nhiêu tiền?

Mức giá chụp răng thép cho trẻ thường dao động từ 500.000 – 1000.000đ/răng. Tuy nhiên, có một số yếu tố sẽ ảnh hưởng đến mức giá này:

  • Loại vật liệu: Chụp thép không gỉ là lựa chọn phổ biến nhờ độ bền cao và giá thành hợp lý. Nếu muốn tăng tính thẩm mỹ, có thể chọn chụp thép mạ vàng hoặc chụp sứ, tuy nhiên chi phí sẽ cao hơn.
  • Mức độ tổn thương của răng: Những trường hợp răng sâu nặng, vỡ nhiều hoặc cần điều trị tủy trước khi chụp sẽ có chi phí cao hơn so với răng sâu nhẹ hoặc tổn thương ít.
  • Số lượng răng cần phục hồi: Nếu trẻ cần chụp nhiều răng, tổng chi phí sẽ tăng theo. Tuy nhiên, một số nha khoa có thể áp dụng ưu đãi khi thực hiện trên số lượng lớn.
  • Địa điểm và chất lượng nha khoa: Giá cả có thể chênh lệch tùy vào uy tín, chất lượng dịch vụ và vị trí của phòng khám nha khoa.

 

Lưu ý sau khi bọc mão răng trẻ em

Sau khi bọc mão răng kim loại cho trẻ, bố mẹ cần lưu ý một số vấn đề sau đây:

Chụp thép răng nên ăn gì?

Bố mẹ không cho trẻ ăn nhai trong khoảng một giờ để hạn chế tác động đến nướu và giúp chụp thép ổn định hơn. Trong hai ngày đầu, bố mẹ nên chuẩn bị các món ăn mềm như cháo, súp, bánh mì, bánh bao, trái cây nghiền, sữa chua,…để trẻ dễ ăn và làm quen dần với chụp thép trong miệng.

Sau vài ngày, trẻ sẽ thích nghi và có thể ăn uống bình thường. Tuy nhiên, nên hạn chế thực phẩm quá cứng, quá nóng, quá lạnh hoặc cay để bảo vệ răng tốt hơn. Đồng thời, khuyến khích trẻ uống nhiều nước để giữ ẩm khoang miệng và giúp làm sạch chụp thép.

Chăm sóc răng miệng hàng ngày

Bố mẹ nên hướng dẫn trẻ chải răng bằng bàn chải lông mềm và kem đánh răng chứa flour 2 lần/ngày, vào sáng và tối để bảo vệ men răng. Cần chú ý làm sạch kỹ khu vực quanh chụp thép nhằm loại bỏ mảng bám và cặn thức ăn, giúp răng miệng luôn sạch sẽ.

Hạn chế cho trẻ ăn thực phẩm chứa nhiều đường, đồ cứng hoặc dẻo như kẹo cao su, kẹo mút, bánh quy, hạt,…vì chúng có thể làm tăng nguy cơ sâu răng, gây bong chụp hoặc mắc kẹt vào chụp thép.

Sau mỗi bữa ăn, trẻ nên súc miệng bằng nước muối ấm hoặc dung dịch súc miệng có chứa fluor để giữ vệ sinh răng miệng và ngăn ngừa vi khuẩn phát triển. Đừng quên cho trẻ sử dụng chỉ nha khoa ít nhất 1 lần/ngày, đặc biệt trước khi đi ngủ để làm sạch kẽ răng và khu vực xung quanh chụp thép.

Theo dõi và tái khám

Bố mẹ nên đưa trẻ đến nha khoa kiểm tra định kỳ sau khoảng 3 – 6 tháng để đánh giá tình trạng răng miệng, làm sạch và điều chỉnh chụp thép nếu cần thiết.

Trong trường hợp phát hiện chụp thép bị lỏng, bong, nứt gãy hoặc gây khó chịu cho trẻ, bố mẹ nên đưa trẻ đến nha sĩ càng sớm càng tốt để được kiểm tra và khắc phục kịp thời.

 

Một số câu hỏi thường gặp khi chụp thép răng sữa

Chụp thép có khó chịu khi ăn uống không?

Ban đầu, chụp thép răng sữa có thể khiến trẻ cảm thấy không thoải mái khi ăn uống. Nhưng sau một thời gian ngắn, trẻ sẽ dần thích nghi. Trẻ có thể gặp phải một số vấn đề sau đây:

  • Cảm giác vướng víu, khó chịu khi nhai, khiến trẻ ăn chậm hơn hoặc e ngại với các loại thức ăn cứng.
  • Sự thay đổi vị trí của lưỡi và môi do chụp thép có thể ảnh hưởng đến khả năng phát âm, khiến trẻ nói ngọng hoặc phát âm chưa rõ ràng trong những ngày đầu.

Chụp thép xong có bị sâu nữa không?

Chụp thép tiền chế giúp bảo vệ răng, khôi phục hình dạng và duy trì chức năng nhai, đồng thời hỗ trợ phòng ngừa các bệnh lý răng miệng. Tuy nhiên, đây không phải là giải pháp triệt để để ngăn ngừa sâu răng.

Việc duy trì thói quen vệ sinh răng miệng đúng cách vẫn rất quan trọng, bao gồm đánh răng đều đặn, làm sạch chụp thép kỹ lưỡng, sử dụng chỉ nha khoa để loại bỏ mảng bám giữa các kẽ răng. Ngoài ra, nên đưa trẻ đi kiểm tra răng miệng định kỳ mỗi 3 tháng để phát hiện sớm và xử lý kịp thời các vấn đề phát sinh.

Chụp thép có gây viêm lợi không?

Nếu chụp thép được thực hiện đúng kỹ thuật và đảm bảo vệ sinh, nguy cơ viêm lợi là rất thấp. Tuy nhiên, một số trường hợp có thể dẫn đến tình trạng viêm lợi, bao gồm:

  • Kích thước mão thép không phù hợp: Mão thép quá chật hoặc quá rộng có thể gây ma sát, chèn ép mô nướu, dẫn đến tổn thương và viêm nhiễm.
  • Lắp đặt mão thép sai vị trí: Nếu mão thép không khớp chính xác với răng, bị kênh lệch hoặc không ôm sát cùi răng, vi khuẩn có thể tích tụ, gây viêm lợi và sâu răng.
  • Chất liệu mão thép kém chất lượng: Một số loại mão thép có chứa tạp chất hoặc kim loại không an toàn có thể gây kích ứng nướu, dẫn đến sưng viêm.

Vì vậy, việc lựa chọn nha khoa uy tín và tuân thủ vệ sinh răng miệng đúng cách là rất quan trọng để hạn chế nguy cơ viêm nhiễm.

 

 

Leave a Reply

Your email address will not be published. Required fields are marked *

InfiDental

Đội ngũ nha sĩ tốt nhất.

Giải thưởng
Mạng xã hội

Truy cập Infi Dental trên các liên kết xã hội và theo dõi chúng tôi để cập nhật chương trình khuyến mại

Copyright 2020 by BoldThemes. All rights reserved.

Copyright 2020 by BoldThemes. All rights reserved.