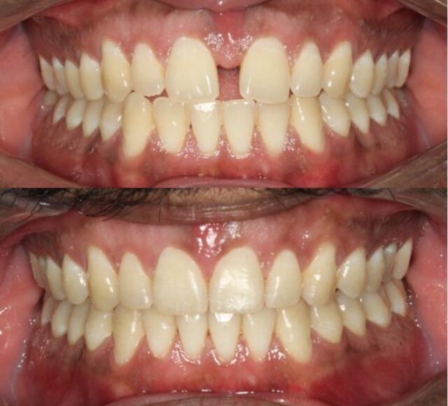
NIỀNG RĂNG THƯA: LỰA CHỌN THÔNG MINH CHO NỤ CƯỜI TỰ NHIÊN VÀ HOÀN HẢO
Bài viết chuyên môn từ Bác sĩ Đàm Thị Hương – Chuyên gia Chỉnh nha tại INFI DENTAL
🦷 Răng thưa là gì?
Răng thưa là tình trạng giữa các răng có khoảng cách, không khít sát nhau. Dù nhỏ hay to, khe thưa đều có thể tác động đến sức khỏe răng miệng và sự tự tin khi giao tiếp.
Nguyên nhân thường gặp:
- Răng nhỏ, hàm to (di truyền)
- Mất răng, răng sữa rụng sớm
- Các thói quen như đẩy lưỡi, mút tay
- Dây thắng môi bám thấp
❗️ Răng thưa – Không chỉ là vấn đề thẩm mỹ
Răng thưa không chỉ khiến nụ cười thiếu hài hòa mà còn mang lại một loạt ảnh hưởng tiêu cực:
- Thức ăn dễ dính kẽ, khó vệ sinh
- Viêm nướu, hôi miệng, tụt lợi
- Sai khớp cắn, ảnh hưởng chức năng nhai
- Mòn răng, tiêu xương răng do khoảng thưa lớn.

⚖️ Niềng răng thưa: Giải pháp bền vững và khoa học
Niềng răng (chỉnh nha) sử dụng lực nhẹ từ các khí cụ nha khoa để dịch chuyển các răng về vị trí chuẩn, đóng khít các khoảng thưa một cách đối xứng và an toàn.
Hiệu quả của niềng răng thưa:
- Khôi phục thẩm mỹ nụ cười
- Nâng cao chức năng nhai
- Ngăn ngừa viêm nướu, hư răng
- Cải thiện phát âm (đặc biệt khi có khe hở lớn giữa hai răng cửa)
🔍 Các hình thức niềng phù hợp với răng thưa:
- Niềng răng mắc cài kim loại
- Phù hợp với mọi đối tượng, điều trị chắc chắn
- Chi phí hợp lý, hiệu quả nhanh
- Niềng răng mắc cài sứ
- Giữ thẩm mỹ trong suốt quá trình niềng
- Được nhiều người trưởng thành ưa chuộng
- Niềng răng trong suốt (Invisalign, eCligner…)
- Gần như vô hình, linh hoạt khi giao tiếp
- Hiệu quả tốt với răng thưa mức độ nhẹ đến trung bình

📅 Quy trình niềng răng thưa tại INFI DENTAL
- Tư vấn chuyên sâu: Bác sĩ Hương trực tiếp khám, chụp phim
- Lập phác đồ chính xác: Dự đoán khoảng đóng răng và độ ổn định
- Gắn khí cụ / giao khay: Bắt đầu hành trình điều trị
- Theo dõi định kỳ: Tái khám mỗi 4-6 tuần
- Kết thúc: Răng đóng khít, hàm cắn đều, duy trì lâu dài

❤️ Tôi đồng hành cùng nụ cười của bạn
“Răng thưa có thể là đặc điểm tự nhiên, nhưng mọi nụ cười đều có thể trở nên đẹp hơn khi hài hòa và đúng vị trí.” – Bác sĩ Hương
Niềng răng là một sự đầu tư cho chính bạn: không chỉ để đẹp mà còn để khỏe mạnh. Tôi và đội ngũ INFI DENTAL luôn sẵn sàng lắng nghe, thấu hiểu và thiết kế nụ cười phù hợp nhất cho bạn.
📢 Liên hệ ngay: INFI DENTAL – Lovely smile, Happy life
📞 0868 559 922
Niềng răng thưa – Khép lại khoảng trống, mở ra sự tự tin.

