Niềng răng khấp khểnh

22/06/2025by admin0

NIỀNG RĂNG KHẤP KHỂNH: CHUYỆN KHÔNG CÒN CỦA RIÊNG AI

Bài viết chuyên môn bởi BS. Đàm Thị Hương – Chuyên gia Chỉnh nha – INFI DENTAL

Là một bác sĩ chỉnh nha, tôi thường gặp rất nhiều bệnh nhân đến với cùng một nỗi băn khoăn: “Bác sĩ ơi, răng em khấp khểnh như thế này có niềng được không?”, “Có phải nhổ răng không?”, “Có đau không bác sĩ?”… Và có lẽ cũng vì những lo lắng ấy mà không ít người đã trì hoãn việc điều trị trong nhiều năm.

Thực tế, răng khấp khểnh không chỉ là vấn đề về thẩm mỹ – mà là vấn đề sức khỏe răng miệng lâu dài. Trong bài viết này, tôi sẽ giải thích toàn diện – dễ hiểu – và khoa học nhất về nguyên nhân, hậu quả, phương pháp điều trị và những lưu ý trong quá trình chỉnh nha cho răng khấp khểnh.

📌 Răng khấp khểnh là gì?

Răng khấp khểnh (crowded teeth) là hiện tượng các răng mọc chen chúc, lệch lạc, không nằm đúng vị trí trên cung hàm. Có thể là:

  • Răng cửa chồng lên nhau
  • Răng xoay trục, nghiêng, chen chúc
  • Răng mọc lùi vào trong hoặc đẩy ra ngoài

Nguyên nhân có thể đến từ:

  • Di truyền cấu trúc hàm nhỏ – răng to
  • Mất răng sữa sớm
  • Răng mọc lệch hướng
  • Thói quen xấu: mút tay, đẩy lưỡi, thở miệng

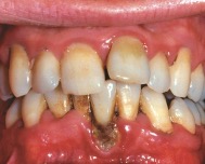
⚠️ Răng khấp khểnh có hại gì không?

Có – và nghiêm trọng hơn bạn nghĩ. Một hàm răng lệch lạc không chỉ khiến bạn ngại cười, mà còn dẫn đến:

  • Khó vệ sinh, dễ gây sâu răng – viêm lợi
  • Sai khớp cắn, đau mỏi hàm khi ăn nhai
  • Ảnh hưởng phát âm
  • Gây lệch khuôn mặt nếu kéo dài lâu năm

Là bác sĩ, tôi thường nhấn mạnh rằng: niềng răng không chỉ là làm đẹp – mà là để phòng bệnh và duy trì sức khỏe toàn diện.

🛠 Làm sao để điều trị răng khấp khểnh?

Phương pháp hiệu quả và an toàn nhất hiện nay là niềng răng chỉnh nha. Bằng cách sử dụng khí cụ như mắc cài hoặc khay trong suốt, bác sĩ sẽ tạo lực nhẹ nhàng – liên tục – chính xác để đưa các răng về đúng vị trí.

Các loại niềng răng phổ biến:

  1. Mắc cài kim loại
  • Chi phí hợp lý, hiệu quả cao
  • Phù hợp với học sinh, sinh viên hoặc người không quá quan tâm thẩm mỹ trong quá trình niềng
  1. Mắc cài sứ thẩm mỹ
  • Ít lộ mắc cài hơn, tiệp màu răng
  • Phù hợp với người trưởng thành, làm việc trong môi trường giao tiếp
  1. Niềng răng trong suốt (Invisalign, Clear Aligner)
  • Không lộ khí cụ, dễ tháo lắp, dễ vệ sinh
  • Cần bác sĩ có chuyên môn cao về thiết kế và kiểm soát lộ trình điều trị

Niềng răng khấp khểnh có cần nhổ răng không?

Không phải ai cũng cần nhổ.

Việc nhổ răng hay không phụ thuộc vào:

  • Mức độ lệch lạc
  • Kích thước xương hàm
  • Mong muốn thẩm mỹ (lùi răng cửa, giảm hô)

Các kỹ thuật hiện đại như mini vis, nong hàm, mài kẽ (IPR) giúp hạn chế tối đa việc nhổ răng nếu không cần thiết.

Là bác sĩ, tôi chỉ định nhổ khi:

  • Răng chen chúc quá nặng, không còn khoảng trống để dịch chuyển răng
  • Hô móm nặng cần điều chỉnh cấu trúc mặt

Và tôi luôn giải thích rõ lý do, hình ảnh và kế hoạch điều trị, đạt được sự đồng thuận từ 2 bên trước khi tiến hành điêu trị.

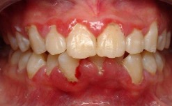
Lộ trình điều trị niềng răng khấp khểnh

Giai đoạn Nội dung chính
Tư vấn ban đầu Khám lâm sàng, chụp X-quang, scan mẫu hàm
Phân tích – Lập kế hoạch Mô phỏng dịch chuyển răng, dự đoán thời gian
Gắn mắc cài / Giao khay Bắt đầu điều trị
Tái khám định kỳ Mỗi 4–6 tuần điều chỉnh lực niềng
Tháo niềng Sau 15–24 -30 tháng (tùy mức độ)
Giai đoạn duy trì Đeo hàm duy trì để răng ổn định lâu dài

❤️ Lời khuyên từ bác sĩ chỉnh nha

“Niềng răng là hành trình thay đổi, không chỉ nụ cười mà cả sự tự tin và chất lượng sống. Đừng chờ đến khi răng lệch nặng, sai khớp cắn, tụt lợi mới bắt đầu. Hãy khám sớm – và chọn bác sĩ thật sự hiểu bạn.”

Tôi và đội ngũ INFI DENTAL luôn đặt chất lượng chuyên môn và sự tận tâm lên hàng đầu. Với công nghệ hiện đại, quy trình bài bản và sự đồng hành từ A–Z, bạn hoàn toàn có thể yên tâm bắt đầu.

📞 Nếu bạn đang có răng khấp khểnh và muốn tư vấn cụ thể, đừng ngần ngại liên hệ với tôi qua:

📍 INFI DENTAL – Lovely Smile, Happy Life
☎ 0868 559 922/ 0568 296 688

🦷 Bác sĩ Hương – luôn sẵn sàng lắng nghe, đồng hành và kiến tạo nụ cười dành riêng cho bạn.

 

Leave a Reply

Your email address will not be published. Required fields are marked *

InfiDental

Đội ngũ nha sĩ tốt nhất.

Giải thưởng
Mạng xã hội

Truy cập Infi Dental trên các liên kết xã hội và theo dõi chúng tôi để cập nhật chương trình khuyến mại

Copyright 2020 by BoldThemes. All rights reserved.

Copyright 2020 by BoldThemes. All rights reserved.