Hàm giữ khoảng

25/06/2025by admin0

Hàm giữ khoảng là một khí cụ nha khoa có thể tháo lắp hoặc cố định vào cung răng nhằm mục đích giữ khoảng cần thiết cho răng vĩnh viễn mọc vào đúng vị trí. Nhằm hạn chế sai lệch bộ răng vĩnh viễn sau này.

Răng sữa có vai trò vô cùng quan trọng đối với sự phát triển của răng vĩnh viễn, nếu như răng bị chấn thương hoặc bệnh tật dẫn đến mất răng sớm thì những chiếc răng vĩnh viễn có thể di chuyển vào không gian dành cho một chiếc răng khác. Điều này khiến răng mọc ra khỏi vị trí, chuẩn dẫn đến răng mọc chen chúc hoặc khấp khểnh.

May mắn thay, nếu con bạn mất răng sớm có một thiết bị nha khoa có thể sử dụng để giữ khoảng trống cho răng vĩnh viễn mọc đúng vị trí trên cung hàm. Thiết bị này được gọi là hàm giữ khoảng làm bằng kim loại hoặc nhựa, có thể được cố định hoặc tháo rời. Cả hại đều có mục đích chung là giúp con phát triển khớp cắn chuẩn và hy vọng tránh phải niềng răng trong tương lai.

Ý nghĩa của hàm giữ khoảng:

– Bảo tồn khoảng sẵn có

– Giữ sự nguyên vẹn, các chức năng của cung răng

– Giữ mặt phẳng cắn

– Duy trì tính thẩm mỹ và phát âm.

1. Các loại hàm giữ khoảng

1.1/ Hàm giữ khoảng cố định

Là thiết bị thường được làm từ thép không gỉ để gắn vào răng liền kề, chúng được chế tạo theo ba loại khác nhau là một bên, hai bên và neo chặn phía xa.

1.1.1/ Hàm giữ khoảng 1 bên

Được chế tạo bao gồm một vòng nhẫn quanh răng và một vòng dây tròn kéo dài ra ngoài để giữ khoảng trống. Dùng để đặt trên một răng của một bên cung hàm.

Các trường hợp sử dụng hàm 1 bên:

+ Mất răng hàm sữa một bên

+ Mất răng hàm sữa một bên trước khi thay răng cửa

1.1.2/ Hàm giữ khoảng 2 bên

Thiết kế đa dang, tuỳ vào từng trường hợp mất răng, thường bao gồm hai vòng nhẫn tròn và một dây cung kéo dài nằm phía trong của các răng trước để giữ khoảng trống cho hai bên và thường sử dụng cho các răng hàm.

Các trường hợp dùng hàm 2 bên:

+ Mất răng ở hai bên cung hàm

+ Mất nhiều răng (có răng trụ để giữ hàm giữ khoảng)

1.1.3/ Hàm neo chặn phía xa (distal shoe)

Có cấu tạo gần giống với hàm giữ khoảng 1 bên nhưng loại neo chặn phía xa này ở dây thép tròn được gắn thêm một miếng thép không gỉ nhằm giữ khoảng cho răng hàm lớn vĩnh viễn đầu tiên.

Loại hàm này thường được chỉ định dùng trong trường hợp trẻ mất răng hàm sữa thứ hai trước  khi răng vĩnh viễn thứ nhất mọc lên. Hàm neo chặn phía xa sẽ được đặt ngay sau khi trẻ mất răng hàm sữa thứ hai.

Hình ảnh hàm neo chặn phía xa:

Hàm giữ khoảng Distal Shoe khi mất răng 5 sữa sớm, răng 6 vĩnh viễn chưa mọc

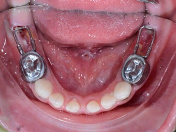
1.2/ Hàm giữ khoảng tháo lắp

Đây là loại hàm trông giống với hàm duy trì được sử dụng ở cuối quá trình chỉnh nha. Chúng được chế tạo bằng nhựa và kim loại có cấu tạo gồm các dây thép bao quanh răng liên kết với đế nhựa tạo thành khay gắn chặt vào răng và vòm miệng.

Ngoài ra, hàm giữ khoảng tháo lắp còn được chế tạo như hàm giả tháo lắp gồm có khung kim loại và răng giả khi những chiếc răng mất ảnh hưởng đến tính thẩm mỹ.

Bác sĩ thường chỉ định sử dụng hàm tháo lắp khi:

+ Mất nhiều răng trên một cung răng

+ Mất răng hàm sữa hai bên cung hàm

+ Thiếu răng trụ giữ hàm

Với loại hàm này sẽ hiệu quả với trẻ lớn biết hợp tác và tuân thủ chỉ định, hướng dẫn của bác sĩ trong quá trình đeo hàm.

Hình ảnh các loại hàm giữ khoảng tháo lắp:

2/ Hàm giữ khoảng bao nhiêu tiền?

Tùy vào tình trạng răng của trẻ sẽ sử dụng loại hàm giữ khoảng khác nhau, vậy chi phí giữa các loại hàm có sự chênh lệch không là băn khoăn của nhiều bậc phụ huynh. Thực chất, hàm giữ khoảng là thiết bị đơn giản, không phức tạp như chỉnh nha nên chi phí tương đối thấp. Tại Infi Dental, chi phí hàm giữ khoảng dao động từ 1-1,5 triệu đồng.

Việc phát hiện tình trạng bệnh của trẻ sớm để điều trị giúp hạn chế tối đa chi phí chăm sóc răng trong tương lai. Theo sự tìm hiểu của chúng tôi, hiện các nha khoa có mức giá không chênh lệch nhiều và các loại hàm giữ khoảng có một mức giá chung.

Hàm giữ khoảng có thể được thết kế với nhiều loại màu sắc và có thêm sticker để con hứng thú và yêu thích

 

  1. Quy trình làm hàm giữ khoảng cho trẻ

Dưới đây là quy trình làm hàm giữ khoảng cho trẻ em, hàm giữ khoảng tại Infi Dental thường được thực hiện bởi bác sĩ chuyên khoa răng trẻ em hoặc chỉnh nha.

🦷 1. Khám và đánh giá ban đầu

  • Bác sĩ kiểm tra tình trạng mất răng sữa, vị trí và thời điểm mọc của răng vĩnh viễn.
  • Thực hiện chụp X-quang để xác định tình trạng chân răng, mầm răng vĩnh viễn.
  • Đánh giá xem có cần giữ khoảng hay không, và nếu có thì dùng loại cố định hay tháo lắp.

 

🧼 2. Vệ sinh và xử lý răng

  • Làm sạch vùng răng miệng kỹ lưỡng.
  • Nếu còn viêm nhiễm, sâu răng hoặc viêm lợi thì cần điều trị trước.
  • Nếu dùng loại hàm cố định, cần lấy dấu răng hoặc đo kích thước để làm khí cụ vừa khít.

🛠️ 3. Thiết kế và chế tạo khí cụ

  • Với loại hàm giữ khoảng được thiết kế riêng tại phòng labo nha khoa, dựa trên mẫu hàm hoặc dấu răng đã lấy, thời gian làm hàm thường mất vài ngày đến 1 tuần.
  • Với loại hàm giữ khoảng có sẵn sẽ được lắp tức thì cho trẻ trong 1 lần hẹn duy nhất.

🧑‍⚕️ 4. Lắp hàm giữ khoảng

  • Bác sĩ thử và điều chỉnh để khí cụ vừa khít, không cấn, không gây khó chịu.
  • Đối với loại cố định, bác sĩ sẽ gắn bằng xi măng nha khoa vào răng bên cạnh khoảng mất răng.
  • Với loại tháo lắp, bác sĩ sẽ hướng dẫn bé và phụ huynh cách sử dụng và bảo quản.

📆 5. Tái khám và theo dõi định kỳ

  • Bác sĩ sẽ hẹn tái khám mỗi 3–6 tháng để kiểm tra:
    • Hàm còn vừa không.
    • Răng vĩnh viễn đã mọc chưa.
    • Có cần tháo hàm hay điều chỉnh gì không.

❗ Lưu ý cho phụ huynh:

  • Giữ vệ sinh răng miệng sạch sẽ.
  • Thông báo bác sĩ ngay nếu khí cụ bị lỏng, đau hay rơi ra.

 

 

Leave a Reply

Your email address will not be published. Required fields are marked *

InfiDental

Đội ngũ nha sĩ tốt nhất.

Giải thưởng
Mạng xã hội

Truy cập Infi Dental trên các liên kết xã hội và theo dõi chúng tôi để cập nhật chương trình khuyến mại

Copyright 2020 by BoldThemes. All rights reserved.

Copyright 2020 by BoldThemes. All rights reserved.