Nong hàm là gì? Các trường hợp chỉnh nha nên nong hàm?
Nong hàm là gì?
Nong hàm chính kỹ thuật để tạo khoảng trống sắp đều răng, làm rộng cung cười. Nong hàm sẽ được thực hiện thông qua các khí cụ chuyên dụng, bác sĩ nha khoa sẽ từ từ đẩy các răng ở trên cung hàm cách xa nhau. Khi đó, vòm miệng sẽ bắt đầu hình thành xương mới giúp hàm dần dần rộng ra.
Để có thể niềng hàm răng đang khấp khểnh cho thẳng hàng, bạn đôi khi phải trải qua một quá trình tạo ra các khoảng trống vừa đủ nhằm đẩy răng về đúng vị trí. Trong một số trường hợp, nếu không làm vậy, răng sẽ không có chỗ dịch chuyển. Chuyên môn chỉnh nha có nhiều phương pháp tạo khoảng trống sắp đều răng như: di xa, cắt kẽ, nhổ răng hoặc nong rộng cung hàm. Mỗi phương pháp được chỉ định cho từng trường hợp khác nhau.
– Cung hàm hẹp ghi nhận trong y văn cách đây hàng nghìn năm và Hippocrates-người cha đẻ của nền y học thế giới đề cập tới.
– Năm 1860 Emerson C.Angell lần đầu tiên thực hiện nong hàm cho một bé gái 14 tuổi trong 2 tuần, đó là thời điểm đã cách đây 160 năm. Sau đó, rất nhiều những nhà chỉnh hình răng mặt lỗi lạc như Walter năm 1877, Pfaff năm 1929, Haas năm 1960 điều trị nong hàm trên bệnh nhân và thu được những kết quả đáng ghi nhận. Cho tới ngày nay, qua nhiều nghiên cứu khoa học cũng như kết quả điều trị trên lâm sàng, nong hàm là một trong những phương pháp chính nhằm giải quyết bài toán không chỉ về thiếu hụt khoảng sắp đều răng mà còn tạo sự cân đối về cấu trúc khung xương mặt.
Cơ sở khoa học của phương pháp nong hàm
Sự tăng trưởng theo chiều ngang của xương hàm rất quan trọng trong chỉnh nha. Thường sự tăng trưởng theo chiều ngang sẽ chấm dứt trước các chiều thế tăng trường khác. Một khi sự tăng trưởng này bị giới hạn, dù nguyên nhân do cấu trúc xương hoặc do răng, hệ cơ hàm cũng sẽ gây ra hẹp hàm.
Thống kê cho thấy rằng, sự thiếu hụt theo chiều ngang chiếm tỉ lệ từ 8 – 18% bệnh nhân đến tư vấn niềng răng. Trên thực tế, các biểu hiện của hẹp hàm có thể gặp như: dạng cung hàm hình chữ V, có cắn chéo ở vùng răng hàm.
Hẹp hàm thường xảy ra ở hàm trên hơn so với hàm dưới. Hơn thế nữa, đường khớp hàm dưới thường cốt hoá từ rất sớm, trong khi đó đường khớp hàm trên cốt hoá muộn hơn, thường là ngoài 20 tuổi do đó nong hàm chỉ định cho xương hàm trên là phổ biến hơn.
Xương hàm trên là một xương ghép nối bởi 2 nửa trái – phải thông qua 1 đường khớp và được liên kết với các xương khác của sọ mặt.

Đường nối giữa xương hàm trên bên phải và trái được gọi là đường khớp dọc giữa. Ở trẻ em, đường khớp ngày chủ yếu là dải xơ, và chúng chỉ cốt hoá khoảng 5% trước 25 tuổi. Tỉ lệ này dao động trong khoảng từ 15 đến 27 tuổi, nữ thì xảy ra cốt hoá sớm hơn ở nam.
Do đó, kỹ thuật nong hàm có thể chỉ định cho bệnh nhân ở độ tuổi trước 25. Tuy nhiên, tuổi càng lớn thì mức độ cài răng lược của đường khớp dọc giữa càng tăng, nên trẻ nhỏ khi có chỉ định nong hàm sẽ dễ dàng mở đường khớp hơn. Ví dụ, trên trẻ 12 tuổi, chỉ cần lực từ 350 đến 400gr đã có thể mở đường khớp hàm trên, trong khi đó với người trên 20 tuổi thì lực cần để mở đường khớp lên tới 700gr.
Việc hẹp hàm cần được xác định là nguyên nhân do xương hay do răng. Đây là vấn đề hết sức quan trọng trong điều trị nhằm chọn lựa khí cụ chính xác cho từng trường hợp vì nếu không chẩn đoán đúng, lựa chọn sai khí cụ thì việc nong hàm sẽ không chỉ không có hiệu quả mà còn gây ra những tác hại không mong muốn cho răng.
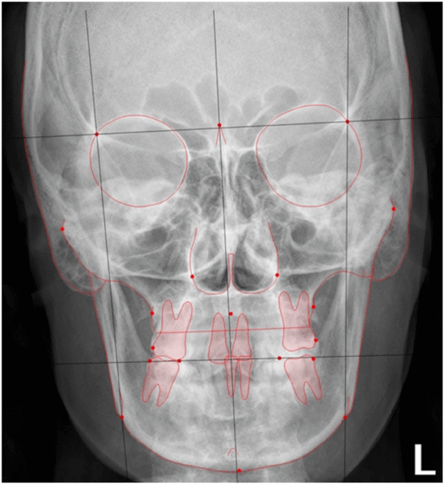
Để chẩn đoán hẹp hàm, bác sĩ chỉnh nha sẽ chỉ định bệnh nhân chụp phim Xquang có tên là Posterior Anterior (gọi tắt là PA) – phim mặt thẳng.

Trên phim PA, bác sĩ chỉnh nha đo đạc các chỉ số, từ đó sẽ khẳng định được nguyên nhân hẹp hàm là do xương hay do răng. Ngoài ra, bác sĩ sẽ phân tích trên mẫu hàm thạch cao khoảng cách giữa 2 răng hàm lớn thứ nhất (răng số 6), nếu khoảng cách này nhỏ hơn 55-60mm (đối vs người VN) thì thường sẽ có chỉ định nong hàm.
Một điều quan trọng cần nhắc lại, đó là tuổi tăng trưởng của bệnh nhân, việc nong hàm ở trẻ em sẽ đưa lại hiệu quả cao hơn ở người lớn. Tuy nhiên như vậy không có nghĩa người lớn không thể nong hàm.
Các trường hợp cần nong hàm
Dựa trên phân tích Xquang cũng như mẫu hàm, bác sĩ chỉnh nha sẽ chỉ định nong xương hay nong răng cho từng trường hợp. Khí cụ nong hàm ở đây thường được chỉ định là các loại hàm nong. Hàm nong sẽ tác động những lực chỉnh nha (orthodontic force) lên răng/ xương ổ răng hoặc xương hàm tạo nên tác động nới rộng cung hàm.
- Trường hợp hẹp hàm do răng/xương ổ răng
Lực nong hàm sẽ nhỏ, yếu, tác động chậm lên răng, từ đó tác động lên các mô xương xung quanh răng, làm răng dịch chuyển trong xương, khi đó cung hàm sẽ được giãn rộng ra. Để nong được xương ổ răng-răng tốt thì cần một lực nong nhẹ và chậm.
Với hình thức nong chậm, trung bình mỗi tuần mức độ rộng thêm của hàm đạt được khoảng 0.5 đến 1mm, và mức tối đa có thể đạt được là khoảng 7-8mm, thời gian cần mang khí cụ nong tối thiểu từ 2 đến 6 tháng
Các khí cụ được chỉ định cho dạng nong chậm này như:
– Dây cung nong: Dạng dây cung với đường kính rộng, khi đi vào mắc cài sẽ có tác dụng làm giãn rộng xương ổ răng.
– Khay trong suốt invisalign: Trường hợp bạn lựa chọn chỉnh nha bằng máng trong suốt invisalign mà có chỉ định nong hàm thì hệ thống máng trong suốt này cũng được tích hợp khả năng nong hàm.
– Hàm nong Quad helix và hàm nong Transforce: Dạng hàm nong được gắn cố định phía vòm miệng.
– Hàm nong tháo lắp có ốc nong: Loại hàm này có thể tháo lắp được, với trẻ nhỏ không nên sử dụng vì thường khó hợp tác nên nha sỹ khó kiểm soát được hiệu quả.
- Trường hợp hẹp hàm do xương
Ở trường hợp này bác sĩ cần xác định tuổi tăng trưởng của bệnh nhân là bao nhiêu, vì mục tiêu nong hàm trường hợp này là tách đường khớp giữa khi nó chưa cốt hoá hoàn toàn. Nếu bệnh nhân đã hết tuổi tăng trưởng, khi đó đường khớp giữa đã cốt hoá thì sẽ rất nguy hiểm vì đường khớp khi cốt hoá sẽ ko đáp ứng với lực tách đường khớp do khí cụ gây ra, thay vào đó răng sẽ chịu hoàn toàn lực này – vốn là lực lớn quá sức chịu của răng, do đó sẽ gây tác động rất xấu đến răng, thậm chí có thể gây rơi răng ra ngoài chứ không làm rộng cung hàm.
Hình thức nong xương này được gọi là NONG NHANH, thời gian nong cũng khoảng 4 đến 6 tháng.
Các khí cụ nong xương thường được chỉ định:
– Rapid maxillary expander (RPE): Đây là một loại hàm gắn cố định phía vòm miệng, có ốc screws ở giữa, cần có một khí cụ là một que vặn. Bác sỹ sẽ hướng dẫn bạn vặn ốc nong mỗi ngày hoặc mỗi tuần để đạt hiệu quả nong xương tối ưu.
– Miniscrew- assisted rapid palatal expander (MARPE): Hàm nong nhanh khẩu cái hỗ trợ bởi các minivis, với loại hàm nong này, bác sĩ sẽ đặt 4 minivis phía khẩu cái và đặt hàm nong tựa trên các minivis, khi vặn con ốc ở giữa hàm nong sẽ có tác dụng làm tách rộng cung hàm. Với loại hàm nong này, thì ngay cả với người ở độ tuổi ngừng tăng trưởng thì vẫn đạt được hiệu quả tách đường khớp giữa, nong rộng cung hàm.
Hướng dẫn sử dụng nong hàm
Với hàm nong chậm: Bạn không cần tự thao tác gì trên nó. Việc đơn giản là đến đúng hẹn để bác sĩ kích hoạt cho bạn và chờ đợi kết quả.
Với hàm nong nhanh: Cách quay, số vòng quay, cách sử dụng cây vặn như thế nào đều được bác sĩ dặn dò kỹ trước khi bạn rời khỏi phòng khám.
Nong hàm trong niềng răng là một bước đòi hỏi nhiều kỹ thuật trong quá trình chỉnh nha, cần được chẩn đoán và chỉ định chính xác. Không phải trường hợp nào cũng được chỉ định nong hàm, cũng như phương pháp nong hàm cho mỗi trường hợp có chỉ định nong là khác nhau. Do đó bạn cần đến các trung tâm nha khoa uy tín để được các chuyên gia về chỉnh nha thăm khám, chẩn đoán và tư vấn cụ thể. Hy vọng bài viết trên đã đem lại những kiến thức bổ ích cho các bạn về phương pháp nong hàm trong chỉnh nha.

